White Fillings

A filling is a simple way to restore a decayed or damaged tooth back to its normal function and shape.

Types of Fillings

There are four different choices that you have when it comes to filling a cavity.

  1. Composite Fillings - Natural tooth-colored filling, bonds to the tooth to provide added security.
  2. Silver Fillings - Inexpensive and strong amalgam based filling.
  3. Gold Fillings - More attractive than silver and provide for a better fit.
  4. Porcelain Fillings - Also called inlays; the most attractive and durable of the tooth colored choices.
Types of Fillings

Tooth-Colored Fillings

Composite fillings are today's modern filling choice. They are made to match your tooth's natural color to make them virtually invisible to notice and are placed onto the tooth by bonding the filling material to the tooth so they do not have the unlikely chance of falling off. Many patients choose to replace their old silver and gold fillings with composite fillings.

Other Benefits:

  • Beautiful in appearance
  • Completed in a single visit
  • No filling leaks
  • Less chance of tooth cracking
Two young women laughing with their mouths open

Strong and Natural Looking

White fillings are made from a high-strength composite resin that can be easily color-matched to your natural tooth making it nearly invisible to you and anyone else. Unlike silver and gold fillings, composite tooth-colored fillings actually bond to the tooth which means they support the surrounding tooth structure, which helps to prevent breakage and insulate the tooth from excessive temperature changes. You are much less likely to have a composite filling fall out which is a common issue with metal fillings.

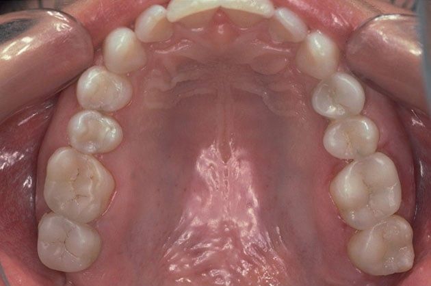
Tooth Colored Fillings After Tooth Colored Fillings Before
Before
After

Inlays and Onlays

You can think of a dental inlay or onlay as being midway between a filling and a crown. Inlays or onlays are used when not enough tooth structure remains to support a filling, but the tooth is not so severely damaged that it needs a crown.

An inlay is similar to a filling, but it lies within the cusps (bumps) on the chewing surface of your tooth. An onlay is more extensive than an inlay and covers one or more cusps.

Inlays or onlays can be made of gold, composite resin (plastic) or ceramics. They can last for decades. However, how long they last depends on the material used, the teeth involved, the forces of chewing and how well the patient maintains them with good oral hygiene and regular visits to a dentist.

Inlays and Onlays