Orthodontics

There are many appliances involved when it comes to orthodontics. Such as: Lingual Arch, Retainer, Space Maintainer and more. These help correct and maintain your smile.

Adult Orthodontics

More and more adults today are seeking orthodontic treatment to improve their smile. Often times, because adults usually are more compliant in their orthodontic treatment, their results turn out far greater than with a child and/or a teen. Orthodontic treatment is not only designed to improve your smile's appearance, but also, to improve the health of your teeth and gums. If you have crowded or overlapping teeth, you may be unable to reach those areas and run the risk of severe tooth decay, gum and bone loss, irregular wear of tooth enamel and possible TMJ/TMD pain. Recent improvements in traditional braces have resulted in smaller, stronger, more efficient and less conspicuous brackets. Conventional braces with metal brackets are the most familiar; however, clear and tooth-colored ceramic and plastic brackets are now available.

Woman laying on ground with clear braces

Six Month Smiles

Are you one of the millions of adults who are unhappy, self-conscious or even embarrassed of your smile?

Many adults spend their entire lives covering their mouths when they laugh, smile or talk. They feel stuck because they do not want to wear metal braces for years or they are concerned that other corrective procedures could be too invasive or too expensive. Now, there is an effective, safe and affordable cosmetic solution that fits your lifestyle.

A revolutionary combination of proven orthodontic techniques, modern materials, and innovative thought - Six Month Smiles® utilizes specialized clear braces to gently straighten and align teeth in an average time of just six months.

Woman excited in white

Misaligned Bite

Class I - A malocclusion where the bite is okay and the top teeth line up with the bottom teeth, but the teeth are crooked, crowded or turned.

Misaligned Bite

Over Bite

Class II - A malocclusion where the upper teeth stick out past the lower teeth commonly referred to as an "over bite," "over jet," "deep bite" or "buck teeth."

Over Bite

Closing Gaps

Closing diastemas, commonly referred to as "tooth gaps" are achieved through a cosmetic dental procedure with a specific focus on closing the gaps or spaces between teeth. These gaps can occur naturally or as a result of missing teeth, gum disease, or other dental problems. Diastemas can have both functional and cosmetic implications, making it difficult to clean and maintain good oral hygiene, and affecting the appearance of the smile.

Diastema closures typically involve a cosmetic dentistry procedure, such as dental bonding, porcelain veneers, dental crowns, or orthodontic treatment such as Invisalign. Individually or through a combination of these services, we can close the gap and restore the natural appearance of the teeth. The specific treatment plan depends on the cause and extent of the gap and your goals for your smile. By closing the gap and restoring the natural appearance of the teeth, diastema closures can improve both the health and the beauty of your smile.

Gap in teeth

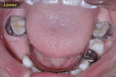
Lingual Arch

A lower lingual arch is a space maintainer for the lower teeth. It maintains the molars where they are and it does not move them. It keeps the molars from migrating forward and prevents them from blocking off space of teeth that develop later. Used when early loss of baby teeth or when lower teeth are slightly crowded.

Lingual Arch

Retainer

A gadget that the orthodontist gives you to wear after your braces are removed. The retainer attaches to your upper and/or lower teeth and holds them in the correct position. You wear the retainer 24 hours a day at first then at night to make sure that none of your teeth move while your jaw hardens and your teeth get strongly attached to your jaw.

Retainer

Space Maintainer

A space maintainer is a removable or fixed appliance designed to maintain an existing space. They are usually fitted to children when they have lost baby teeth early. The gap left from losing this tooth needs to be held open for the permanent tooth to erupt in its correct position.

Space Maintainer

Spring Hawley Retainer

After completing orthodontic therapy, it is not uncommon to still need a little fine tuning of tooth alignment. This is particularly true in patients who have undergone extensive orthodontic therapy and are simply "burned out."

This retainer is useful in correcting minor rotations and crowding. When worn, the spring action of the wires provide a light force to align the teeth. The appliance is constructed to the "ideal" setting and the patient's teeth adapt to their new position.

Spring Hawley Retainer